Войти
Логин:
Пароль
Войти
Регистрация
Забыли пароль?
Найти
Главная
Контакты
Правила
Статьи
699
Телевизор Онлайн
0
Видео из RUTUBE
3
Видео из YouTube
377
Фильмы
68
Сериалы
1170
Цифровые Товары
0
Товары ПК Игры
0
Музыка
116
Новости
2
Девушки
2683
Горячее
240
Компьютерные Игры
17
Юмор
4934
Фотографии и картинки
18871
Демотиваторы
1241
Гифки
49
Авто
1996
Инвестиции и Деньги
69
Мультфильмы
0
Спорт
363
Креатив
1871
Высокие Технологии Hi-Tech
178
Рецепты готовим вкусно
23
Города и Страны
39
Путешествия
21
Знаменитости
41
Арт Искусство
103
Зверье
2243
Мода
50
Недвижимость
32
Дизайн интерьера
70
Обои
124
Невероятное
180
Ностальгия
65
Присланное
19
Старые Видео
8352
rulez-t.info
»
Зверье
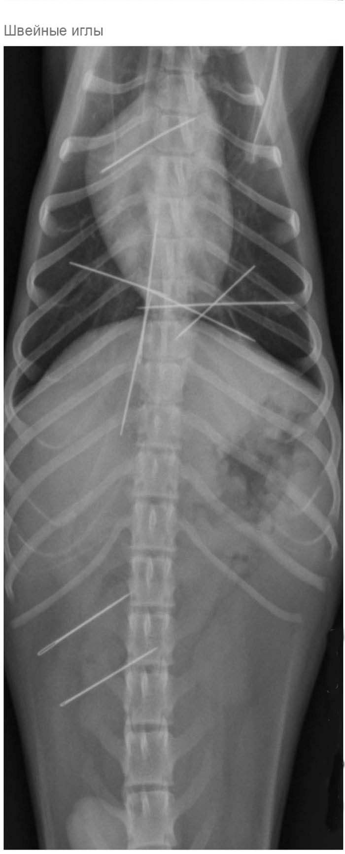
» Что может оказаться в желудке собаки
Что может оказаться в желудке собаки
23/09/2014 17:38
Зверье
0
SkiF
0
2 434
Предыдущая публикация
Следующая публикация